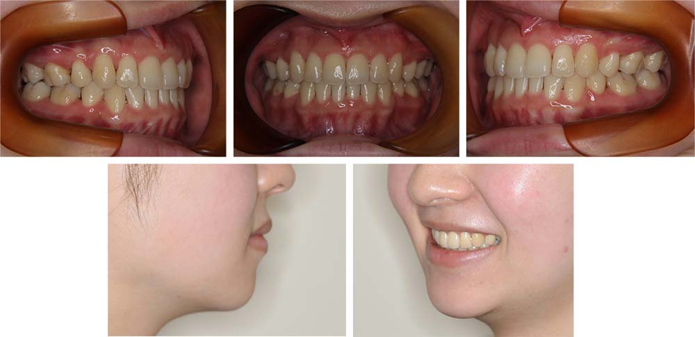
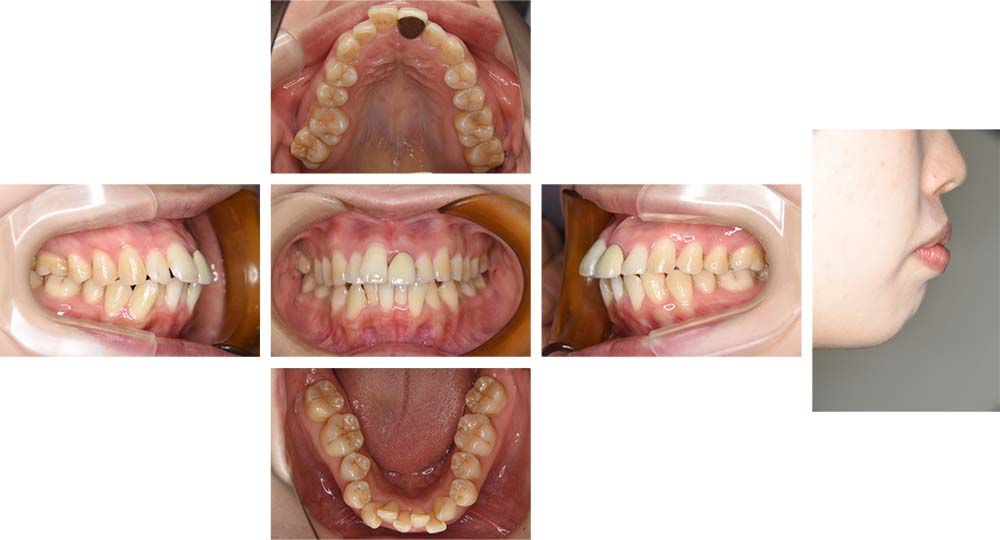
| 初診時年齢 | 24歳 |
|---|---|
| 性別 | 女性 |
| 治療費の目安 | 約90万円程度(治療開始時) |
上顎左側側切歯の口蓋側転位を主訴としてご来院いただいた。初診時ご相談時には口元に対しての要求はなかったが、口元の突出(俗にいうゴボ口)とガミースマイルについての説明をしたところ、治療対象とすることを希望された。セファログラムの分析の結果、上下顎前突と診断した。上下顎小臼歯抜歯を行っていただき、矯正用アンカースクリューを併用し唇側マルチブラケット装置を使用して動的治療を行った。上下顎前歯の後退が十分行われ口元の突出感も改善した。上口唇はE-ラインから2㎜後退し、下口唇もほぼE-ライン上へ後退させ美しい口元の形態とすることができた。また、前歯の後退方向にも工夫を行ったことから、ガミースマイルについても軽減した。動的治療期間2年2カ月間。
治療前
治療後
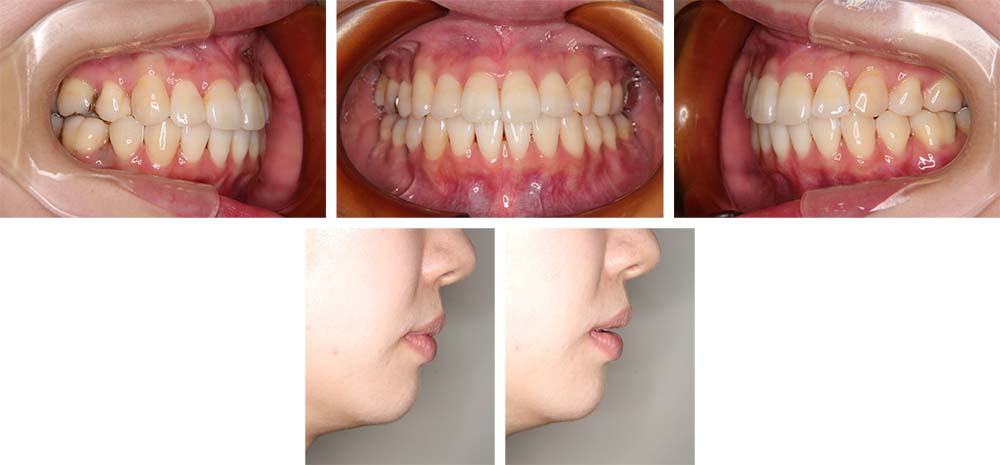
| 初診時年齢 | 20歳 |
|---|---|
| 性別 | 女性 |
| 治療費の目安 | 約130万円程度(治療開始時) |
前歯が少し重なっている前歯部叢生を主訴として来院された。初診時ご相談時には口元に対しての要求はなかったが、口元の突出(俗にいうゴボ口)とガミースマイルについての説明をしたところ、治療対象とすることを希望された。分析の結果、上下顎前突と診断した。上下顎小臼歯抜歯を行っていただき、矯正用アンカースクリューを併用し上下顎舌側マルチブラケット装置を使用して動的治療を行った。叢生の改善と上下顎前歯の後退が十分に行われた。下口唇はE-ラインから+1㎜程度であったが、上口唇はE-ライン上まで後退させることができた。また、前歯の後退方向にも工夫を加えたことから、ガミースマイルもある程度改善した。動的治療期間2年1か月間。
治療前
治療後
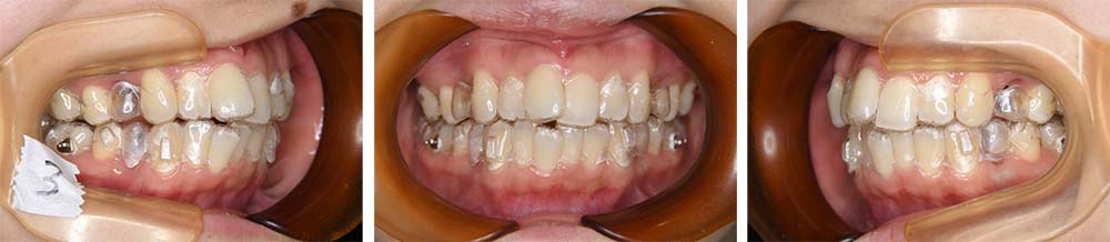
| 初診時年齢 | 22歳 |
|---|---|
| 性別 | 女性 |
| 治療費の目安 | 約140万円程度(治療開始時) |
上顎前歯の前突と下顎前歯部叢生、口元の突出とガミースマイルを主訴にご来院いただいた。上顎前歯は歯槽部から前傾して、下顎前歯は右側側切歯が舌側転位していて、上顎同様全体的に前突していた。側貌セファログラムの分析や模型分析などから下顎前歯部叢生を伴う上下顎前突と診断した。ガミースマイルの改善については歯科矯正治療での限界について十分に説明のうえ、治療の目標の一つとしてガミースマイルの「軽減」を挙げた。患者さんの希望で上下顎舌側マルチブラケット装置を使用することとして、上下顎小臼歯を抜歯していただき矯正用アンカースクリューを併用して動的治療を行った。上下顎前歯の後退が十分に行われ、口元の安寧が得られた。ガミースマイルについては診断時に説明していた通り、スマイル時に歯肉の露出が全くない状態とすることはできなかったが、軽減することはできた。動的治療期間3年10か月間、調整来院34回。
治療前
治療後
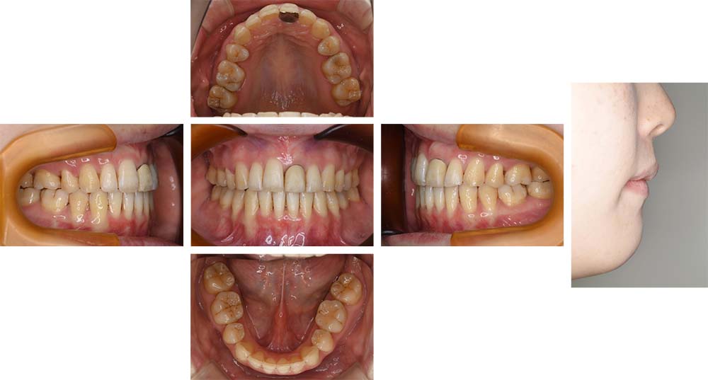
| 初診時年齢 | 24歳 |
|---|---|
| 性別 | 女性 |
| 治療費の目安 | 約125万円程度(治療開始時) |
上顎前歯の突出を主訴としてご来院いただいた。顔貌は下顎が後退しておられ、閉唇時にはオトガイ部の緊張があり、口唇の突出をみとめた。セファログラムの分析の結果、上顎より下顎が後退した骨格で上顎前歯は10°程度日本人の平均より前傾が強く、上下の前歯は咬合せず開咬状態であった。他の診断資料も含めてこれらのことから前歯部開咬を伴う骨格性上顎前突と診断した。患者さんが上顎舌側マルチブラケット装置を希望されたことから、下顎には唇側マルチブラケット装置を使用したいわゆるハーフリンガルで治療を行う計画を立案した。口蓋にアンカースクリューを使用して、小臼歯を抜歯していただいて動的治療を行った。前歯が開咬状態であることから筋機能療法(舌と唇のエクササイズ)を併用した。上下顎前歯の前傾が改善し、前歯の咬合接触が得られた。口元の突出も改善して口唇の安寧も得ることができた。動的治療期間2年1か月間、調整来院26回。
治療前
治療後
| 初診時年齢 | 10歳 |
|---|---|
| 性別 | 女児 |
| 治療費の目安 | 約90万円程度(治療開始時) |
上顎前歯のねじれと前歯の前突を主訴に来院された。口元の突出があり、セファログラムの分析を基に前歯部叢生を伴う上下顎前突と診断し、上下顎前歯を整え後退を行うことを治療目標とした。側方歯の交換期に入っていたことから、永久歯への生え代わりを待ち、13歳まで経過観察を行った。永久歯への生え代わりが終了し、下顎第二大臼歯の萌出を認めたことから、上下顎小臼歯を抜歯していただき前歯を後退させるために上下顎唇側マルチブラケット装置を使用して動的治療を行った。矯正用ゴムの使用やブラッシングなど協力状態も極めて良く、前歯が適正な状態に後退して、上口唇がE-ラインから2㎜程度、下口唇はE-ライン上にそれぞれ後退し、美しいオトガイ形態となって口元の安寧を得ることができた。臼歯部の咬合状態も良好な状態であった。動的治療期間2年2か月間。
初診時
治療前
治療後
| 初診時年齢 | 28歳 |
|---|---|
| 性別 | 女性 |
| 治療費の目安 | 約95万円程度(治療開始時) |
上顎前歯の突出と下顎前歯部の叢生を主訴に近隣一般歯科医院から紹介来院された。また、口元の突出についても長年コンプレックスに感じていたとのことであった。側貌セファログラムの分析の結果下顎前歯部叢生を伴う骨格性上顎前突と診断した。前歯の後退量を考慮し矯正用アンカーを使用して小臼歯抜歯を行っていただき動的治療を行った。上下顎前歯が適正な状態まで後退し、閉唇時の口元の緊張が改善して上下口唇ともにE-ラインより2㎜程度後退して良好な状態とすることができた。治療前はヒトの特徴であるオトガイ(あごの先の丸み)がなかったが、治療後は美しいオトガイ形態となった。来院間隔が長く動的治療期間は3年1か月間を要したが、調整来院は20回で平均的であった。
治療前
治療後
| 初診時年齢 | 17歳 |
|---|---|
| 性別 | 男性 |
| 治療費の目安 | 約135万円程度(治療開始時) |
口元の突出を主訴として来院された。歯列の乱れは大きくなく特に上顎前歯の前傾があり、これが口元の突出の原因となっていると考えられた。セファログラムの分析を行い上顎前歯が日本人の平均より約15°前傾していることが分かった。骨格の状態も考慮し歯槽性上顎前突と診断した。治療にあたって患者さんは上下顎舌側マルチブラケットを使用することを希望された。矯正用アンカースクリューを併用し、上下顎小臼歯を抜歯していただいて動的治療を行った。鼻から唇にかけての形態や角度、オトガイの形態なども良い状態へ変化した。途中、受験期に来院が滞ったことから装置装着期間は2年6か月間を要した。調整来院28回。
治療前
治療前
| 初診時年齢 | 22歳 |
|---|---|
| 性別 | 女性 |
| 治療費の目安 | 約115万円程度(治療開始時) |
小学生時より当院にて反対咬合のⅠ期治療を行っていた。Ⅰ期治療が終了しⅡ期治療の希望が無かったため数年間来院が無かったが、22歳時に前歯のねじれを主訴として再来した。Ⅰ期治療前は乳臼歯から前歯まで全ての歯が反対咬合であったが、後戻りは最小限で反対咬合になっている箇所はなかった。しかし、臼歯部の反対咬合の改善のため歯列拡大を行ったものが少々後戻りして前歯のねじれにつながったと推察された。セファログラムの分析の結果、上下顎前突と診断した。患者さんが口元の突出の改善も合わせて希望されたため、上下顎小臼歯、智歯抜歯を行っていただき、就職によって遠方からの来院となることが想定されたためアライナーを使用して動的治療を行った。上下顎前歯の後退が十分行われ口元の突出感も改善した。治療により上下口唇ともにほぼE-ライン上に改善し美しい口元の形態とすることができた。動的治療期間3年1カ月間、調整来院18回。
治療前
治療中
治療後
| 初診時年齢 | 28歳 |
|---|---|
| 性別 | 女性 |
| 治療費の目安 | 約140万円程度(治療開始時) |
切端咬合を主訴に来院された。上下顎第二小臼歯が先天欠損で乳臼歯が4カ所とも残存していた。切端咬合で上下顎の正中線はずれていた。左上側切歯は矮小歯で右側は口蓋側転位であったが清掃性が悪いため抜歯したとのことであった。下顎前歯の前傾がありセファログラムの分析結果をふまえ歯槽性反対咬合と診断した。患者さんが上下顎舌側マルチブラケット装置を希望された。側切歯が欠損している右上以外の第二乳臼歯を抜歯していただき動的治療を行った。上顎の正中線を左へ移動するようにして、下顎前歯を内傾させて被蓋を適正化した。矯正用ゴムなどの協力状態も良く2年9カ月間で保定へ移行した。調整来院33回。
治療前
治療後
| 初診時年齢 | 24歳 |
|---|---|
| 性別 | 女性 |
| 治療費の目安 | 約120万円程度(治療開始時) |
上下顎前歯部の叢生を主訴として来院された。上顎左右側側切歯が口蓋側へ転位し犬歯は唇側転位となっていわゆる八重歯となっていた。下顎前歯も前後にずれてデコボコに生えていた。口唇の状態も閉唇時にオトガイ部の緊張があり上下顎前歯が前傾していることが考えられた。側貌セファログラムの分析の結果叢生を伴う上下顎前突と診断し、上顎舌側、下顎唇側マルチブラケット装置を使用して、上下顎小臼歯抜歯を行っていただき、口蓋側に矯正用アンカースクリューを併用して動的治療を行った。叢生となっていた前歯が整い前歯は後退した。その結果口唇閉鎖時のオトガイの緊張は無くなり上口唇はEラインから2㎜程度後退し、下口唇がEライン上に位置するようにできた。患者さんからは歯並びが良くなつとともに口元の形態が整ったと感想があった。動的治療期間2年4か月間、調整来院27回。
治療前
治療後
| 初診時年齢 | 28歳 |
|---|---|
| 性別 | 女性 |
| 治療費の目安 | 約130万円程度(治療開始時) |
上下顎前歯部叢生を主訴としてご来院いただいた。顔貌はオトガイ部が後退した形態で、閉唇時にはオトガイ部が緊張していた。口腔内は上顎右側中切歯が捻転して、下顎前歯が各歯が前後にずれていた。側貌セファログラムの分析の結果、叢生を伴う骨格性上顎前突と診断した。患者さんの希望で上下顎舌側マルチブラケット装置を使用することとなり、上下顎小臼歯を抜歯していただいて、口蓋に矯正用アンカースクリューを併用して治療を行った。前歯の整直、後退を行った。オトガイ部の緊張がなくなり、口元の安寧が得られた。上顎前歯の圧下を同時に行ったことから、ガミースマイルの軽減もできた。動的治療期間2年5か月間。
治療前
治療後
| 初診時年齢 | 26歳 |
|---|---|
| 性別 | 女性 |
| 治療費の目安 | 約120万円程度(治療開始時) |
上顎前歯の捻転と口元の突出を主訴にご来院いただいた。上顎左側中切歯が捻転し、上下顎前歯が前傾していた。閉唇時に口元は突出し特に下口唇を伸展させて閉唇されるため、オトガイ部が緊張していた。側貌セファログラム等の分析から上下顎の骨格の前後的なずれはなく、上下顎前突と診断した。診断に基づき上下顎小臼歯抜歯として上下顎前歯の後退を行うこととした。患者さんの希望をふまえ上顎舌側、下顎唇側マルチブラケット装置を使用して、矯正用アンカースクリューを併用して動的治療を行った。上下顎前歯が後退し閉唇時のオトガイ部の緊張も緩和し美しい口元とになった。動的治療期間2年11か月間、調整来院25回。
治療前
治療後
| 初診時年齢 | 47歳 |
|---|---|
| 性別 | 女性 |
| 治療費の目安 | 約120万円程度(治療開始時) |
口元の突出を主訴にご来院いただいた。閉唇時には鼻唇角が90度を下回り、唇を尖らせるような形態となっていた。長年この状態をコンプレックスに感じていたとのことであった。口腔内を見ると大臼歯関係は左右ともⅠ級で前後的なずれはほぼなかった。上下顎前歯は前傾し側貌セファログラムの分析からは上下顎前歯は日本人の平均より上顎は約15°、下顎は約10°前方への傾斜が強かった。上口唇はほぼEライン上であったが、下口唇が3㎜程度突出していた。これらをもとに上下顎前突症と診断した。患者さんと相談のうえ矯正用アンカースクリューを併用して上顎舌側、下顎唇側マルチブラケット装置を使用し上下顎小臼歯を抜歯していただき、上下顎前歯の最大限の後退を行うことを目標に動的治療を行った。上下顎前歯の後退状況は患者さんと毎回相談しながら進めた。上下顎前歯の十分な後退が行われ、患者さんの希望に沿うものとなった。動的治療期間2年9か月間。
治療前
治療後
| 初診時年齢 | 30歳 |
|---|---|
| 性別 | 女性 |
| 治療費の目安 | 約125万円程度(治療開始時) |
上顎前歯の突出を主訴としてご来院いただいた。上下顎前歯が前方へ傾斜し口元も突出していた。上顎前歯が突出している場合、閉唇時には下口唇を伸ばして閉唇するためオトガイ部にしわができることが多い。この方も同様に下口唇を伸ばして閉唇していたため、上口唇はE-ラインから約3㎜前方で、下口唇は約10㎜突出していた。側貌セファログラムの分析から上顎前歯は日本人の平均より約10°、下顎前歯は同じく15°程度前傾が強かった。上下顎の骨格のずれはほぼ無く歯槽性上顎前突と診断し、上下顎小臼歯を抜歯していただきマルチブラケット装置を使用し矯正用アンカースクリューを併用して動的治療を行うこととした。マルチブラケット装置は患者さんの希望で上顎舌側、下顎唇側装置を使用した。上下顎前歯の後退が十分行われ、上下顎前歯は適正な位置や角度となり、上口唇はE-ラインから約2㎜後方、下口唇はほぼE-ライン上へ変化した。口元の形態も理想的な形態となった。動的治療期間2年6か月間、調整来院24回。
治療前
治療後
| 初診時年齢 | 20歳 |
|---|---|
| 性別 | 女性 |
| 治療費の目安 | 約135万円程度(治療開始時) |
上顎前歯の突出と口唇の突出を主訴にご来院いただいた。上下顎前歯が前傾してオーバージェットは約5㎜であった。各歯の捻転はあるものの歯列に大きな乱れは無かった。上下口唇はE-ラインからそれぞれ上口唇が約3㎜、下口唇が約6㎜前方にあった。側貌セファログラムの分析や模型などの分析などから上下顎前突と診断した。患者さんが上下舌側マルチブラケット装置を希望したことから上顎左右側第一小臼歯、下顎左右側第二小臼歯を抜歯していただき、矯正用アンカースクリューを併用して動的治療を行た。上下顎前歯は不要な内傾を起こすことなく後退し口元の安寧も得られた。上下の口唇は上口唇がE-ラインから1㎜、下口唇が約3㎜後退した位置にすることができた。治療前歯閉唇時にオトガイ部に緊張感があり、頑張って唇を閉じている状態であったが、自然に閉唇することができるようになった。治療期間2年9か月間、調整来院24回。
治療前
治療後
| 初診時年齢 | 21歳 |
|---|---|
| 性別 | 女性 |
| 治療費の目安 | 約120万円程度(治療開始時) |
上顎前歯の捻転を主訴にご来院いただいた。上顎前歯は捻転するとともに前方へ傾斜し、下顎前歯部も叢生となっていた。閉唇時には特に下口唇を伸展させて閉唇するためオトガイ部の緊張を認めた。側貌セファログラムの分析結果などをもとに上下額前突と診断した。歯列を整えるだけであれば歯列の拡大処置などにより非抜歯での治療も可能と考えられたが、これらを総合的に判断し、小臼歯抜歯を行い積極的に上下額前歯の後退を行った方が望ましいと考えた。治療には上顎舌側、下顎唇側マルチブラケット装置に矯正用アンカースクリューを併用して、最大限に前歯を後退させる計画とした。上下顎前歯の十分な後退が行われ、口元の安寧を得ることができた。閉唇時のオトガイ形態も美しい形態とすることができた。上口唇はE-ラインからー2㎜、下口唇は0㎜でE-ライン上となり、理想的な状態とすることができた。動的治療期間2年6か月間。
治療前
治療後
| 初診時年齢 | 17歳 |
|---|---|
| 性別 | 女性 |
| 治療費の目安 | 約125万円程度(治療開始時) |
上下顎前歯の前突を主訴として来院された。患者さんは中学生時に当院ではない医院で、一度、矯正歯科治療を受けておられ歯列は整っていた。しかし、側貌セファログラムの分析の結果、上下顎前歯が日本人の平均より上下合わせて20°程度前傾が強い状態であった。口唇の前突感もあり患者さんはこれを非常に気にされていた。上下の口唇はE-ラインからそれぞれ2㎜/5㎜前方にあった。他の診断資料と合わせ上下顎前突症と診断し上下顎小臼歯を抜歯してマルチブラケット装置を使用して動的治療を行うこととした。マルチブラケット装置は上顎舌側、下顎唇側マルチブラケット装置を使用して口蓋に矯正用アンカースクリューを併用した。上下顎前歯の十分な後退が行われ、気にされていた口元の突出感も無くなった。上下の口唇はE-ラインから―2㎜/0㎜となり、理想的な状態となり大変喜んでおられた。動的治療期間2年〇ヵ月間
治療前
治療後