歯並びに影響する?上唇小帯高位付着とは?
みなさまこんにちは!トリートメントコーディネーターの斉藤です。
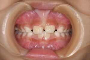
お口のなかに上唇小帯といわれるすじがあるのをご存知でしょうか。
上唇をめくったときに 上の前歯のちょうど真ん中にあるすじのことです。
この上唇小帯は誰にでもあり、上唇の開閉をスムーズにしたり、動きをコントロールする働きがあります。しかし長さや付着位置、太さによっては歯並びに影響する場合があります。
今回はこの上唇小帯についてお話します。
この上唇小帯、乳幼児期は比較的大きく、成長していくにつれだんだん縮小して目立たなくなっていきます。また、転んだ拍子に切れたりして気にならない長さになることがほとんどです。しかし、中にはその小帯が長いままのお子さんもいます。
この状態のことを 〖上唇小帯高位付着〗といわれます。
どう歯並びに影響するの?
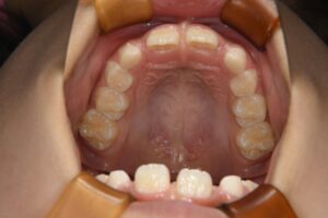
上の前歯が生え変わる小学校低学年のころに小帯が長いままでいると、前歯の間に隙間ができる原因になることがあります。これを〖正中離開〗と呼び、前歯が通常よりも離れて生えてしまう、いわゆる『すきっぱ』になるという現象です。前歯の隙間は、前歯の隣の歯や後ろの歯の生える力によって隙間が狭くなることもありますが、長いままであると完全に隙間が閉じるということはなかなか難しくなります。
上唇小帯の影響を改善するためには?
上唇小帯の影響を改善するための方法としては、一般的に過剰な上唇小帯の一部を切除する手術が推奨されます。切除のタイミングは、早いに越したことはありませんが上の前歯が生え変わる7.8歳頃には切除しておくことが望ましいと思われます。この手術により、前歯の間の隙間が改善されたり上唇の動きが自由になったりします。また、手術後に歯科矯正治療を行うことにより歯並びの改善が期待されます。手術は、外来で行われることが多く、難しいものではありませんが、お口の中のすじを切除となると、怖くなってしまうお子さんがほとんどでしょう。ご本人にもきちんと説明して理解を促すことが大切です。
あれ?うちの子の前歯の間に隙間があるわ…や、学校の検診で指摘されたなど、気になることがありましたらかかりつけの歯科医院でご相談ください。


















